
B06 N: Effects of early life stress on bone homeostasis and fracture healing
PIs: M. Haffner-Luntzer, S. Reber
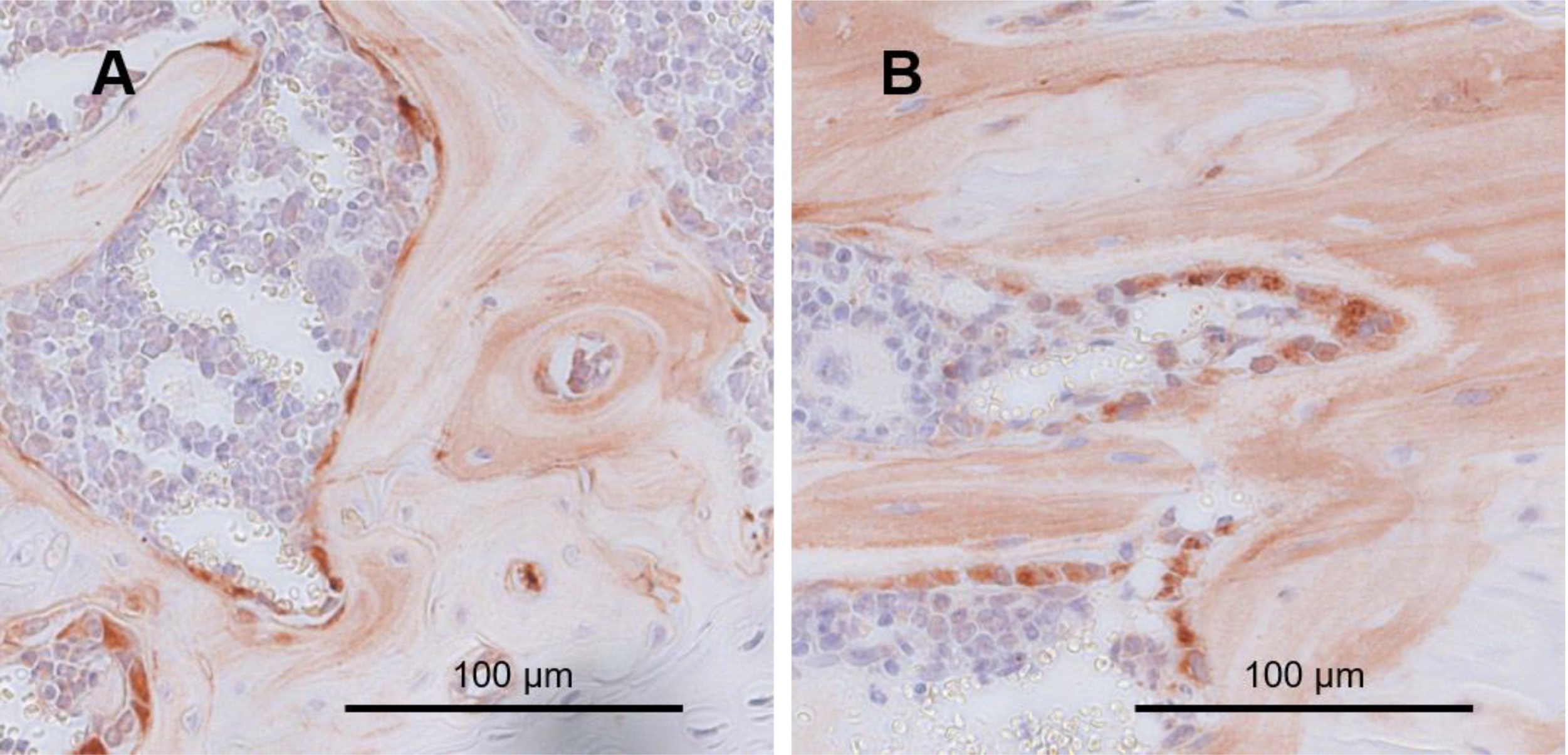
Early life adversity (ELA) is an acknowledged risk factor for the development of stress-related disorders. However, the effects of ELA on bone metabolism and bone repair have not been adequately investigated. Own recent results indicate that a psychosocial trauma during adulthood disturbs cartilage-to-bone transition during bone growth and fracture healing in male mice. These effects were mediated by increased numbers of tyrosine hydroxylase expressing CD11b+Ly6G+ neutrophils in the bone marrow and fracture callus, respectively. As rectal infusions of feces from unstressed mice into psychosocially stressed mice ameliorated stress-induced bone disturbances, a role of the gut microbiome is likely. Own preliminary data further show that femurs of female but not male mice subjected to maternal separation (MS) as ELA (1st hit) show a decreased trabecular number and increased osteoclast counts. This was paralleled by increased IL-6 and RANKL expression in the bone marrow, suggesting a crosstalk between immune and bone cells. The sex-specific ELA-induced osteopenic bone phenotype is in line with the fact that women are more susceptible to ELA than men. However, our data further indicate that male vs. female mice exposed to ELA are more susceptible to psychosocial trauma during adulthood as a 2nd hit. As ELA is also known to differently affect the gut microbiota in male and female mice, the aim of the proposed project is to investigate in a sex dependent manner the cellular, molecular and gut microbiome-associated mechanisms underlying the effects of ELA on bone homeostasis and regeneration. Combining the MS paradigm with standardized femur osteotomy, 16S rRNA gene sequencing of fecal microbiota, transcriptome analyses of bone marrow cells, fecal transplantation, as well as specific transgenic mouse models, we will study the overall hypotheses that ELA in a sex dependent manner affects the gut microbiota, which in turn disturbs immune cell-osteoblast interactions (e.g., IL-6/RANKL axis) finally affecting bone metabolism and regeneration.
Projektleiter
Prof. Dr. Melanie Haffner-Luntzer
Institut für Unfallchirurgische Forschung und Biomechanik
Universitätsklinikum Ulm
Helmholtzstr. 14
89081 Ulm
Tel.: +49 731 500 55324
E-mail: melanie.haffner-luntzer(at)uni-ulm.de
Prof. Dr. rer. nat. Stefan Reber
Klinik für psychosomatische Medizin und Psychotherapie, Sektion für molekulare Psychosomatik
Albert-Einstein-Allee 23
Universitätsklinikum Ulm
89081 Ulm
Tel.: +49 731 500 61943
E-mail: stefan.reber@uni-ulm.de