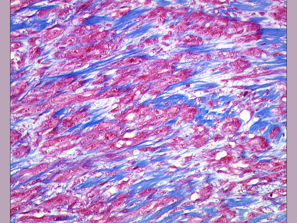
Forscher der Universität Ulm und der Columbia University haben einen diagnostischen Algorithmus zur Unterscheidung bösartiger Melanom-Subtypen entwickelt. Äußerlich sehen sich das desmoplastische und das gefährlichere spindelzellige Melanom zum Verwechseln ähnlich: Sie sind nicht-pigmentiert und gleichen teilweise einer Narbe – und auch der histologische Befund bringt nicht immer Klarheit. Die Wissenschaftler haben Tumorproben auf bereits bekannte Biomarker untersucht und so den Algorithmus entwickelt, der eine Differentialdiagnose sichert
Unscheinbar und oft tödlich: Neuer Algorithmus zur Unterscheidung von Melanomsubtypen entwickelt
Universität Ulm Universität Ulm
Forscher der Uni Ulm und der Columbia University haben einen diagnostischen Algorithmus zur Unterscheidung bösartiger Melanom-Subtypen entwickelt. Äußerlich sehen sich das desmoplastische und das gefährlichere spindelzellige Melanom zum Verwechseln ähnlich: Sie sind nicht-pigmentiert und können einer Narbe gleichen – und auch der histologische Befund bringt nicht immer Klarheit. Die Wissenschaftler haben Tumorproben auf bereits bekannte Biomarker untersucht und so den Algorithmus identifiziert